2015-2020 гг. — Диплом специалиста, федеральное государственное бюджетное учреждение высшего образования «Московский государственный медико-стоматологический университет имени А.И. Евдокимова», Министерства здравоохранения Российской Федерации, г.Москва, освоил(а) программу специалитета по специальности — Стоматология, решением государственной экзаменационной комиссии присвоена квалификация врач-стоматолог;
2021 г. — Свидетельство об аккредитации, федеральное государственное бюджетное учреждение высшего образования «Московский государственный медико-стоматологический университет имени А.И. Евдокимова», Министерства здравоохранения Российской Федерации, г.Москва, имеет право на осуществление медицинской деятельности на территории РФ в соответствии с процедурой аккредитации специалиста, направление подготовки — Стоматология. Сертификат действителен в течении 5 лет;
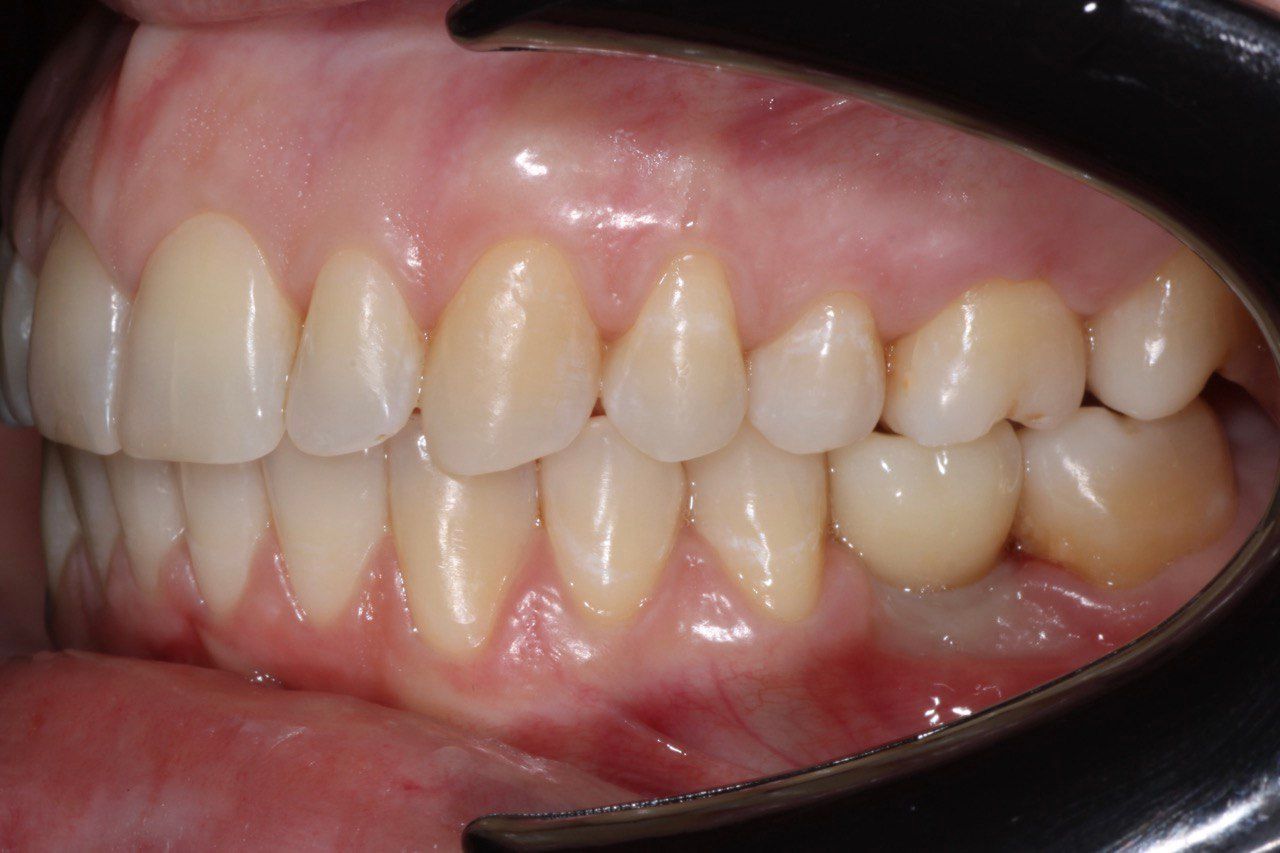
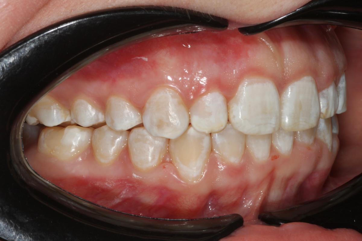
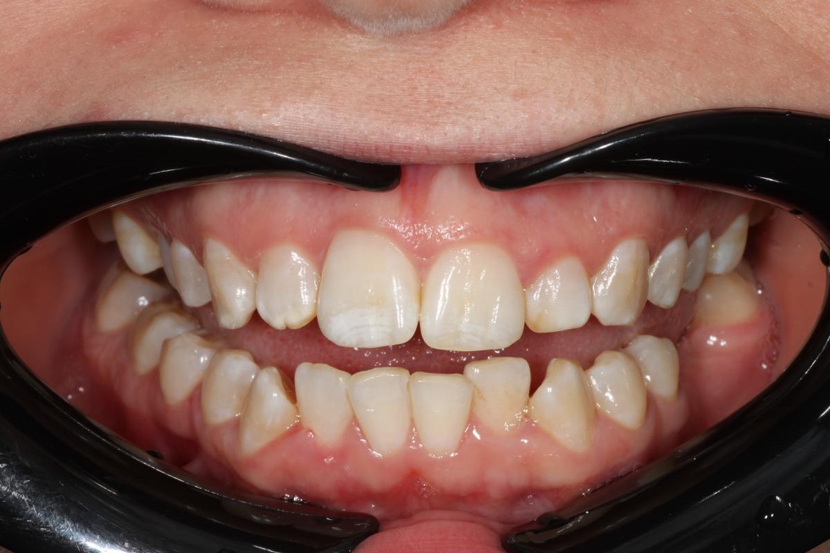
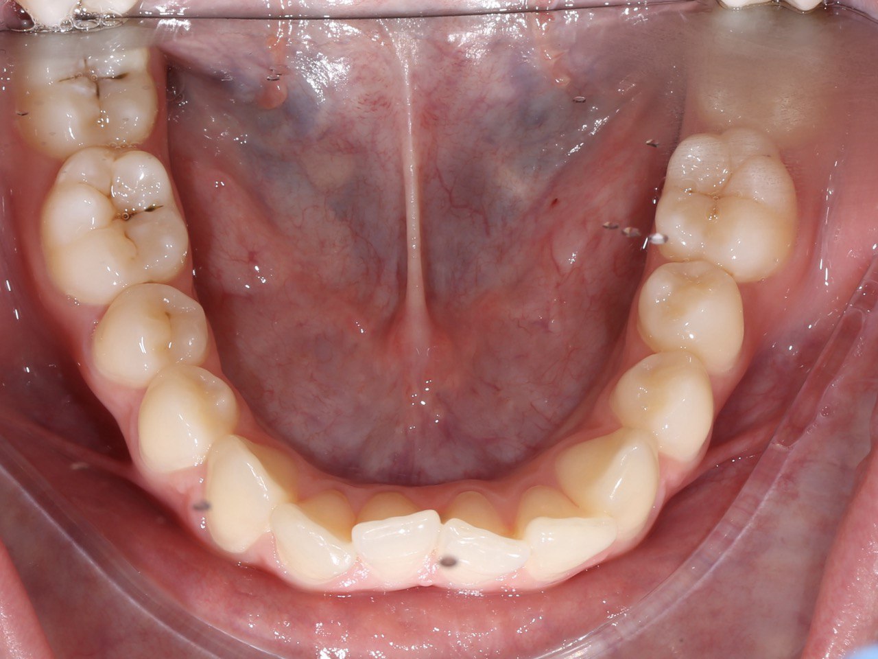
2022 г. — Диплом об окончании ординатуры, федеральное государственное бюджетное учреждение высшего образования «Московский государственный медико-стоматологический университет имени А.И. Евдокимова», Министерства здравоохранения Российской Федерации, г.Москва, присвоена квалификация врач-ортодонт;
2022 г. — Свидетельство об аккредитации, федеральное государственное бюджетное учреждение высшего образования «Московский государственный медико-стоматологический университет имени А.И. Евдокимова», Министерства здравоохранения Российской Федерации, г.Москва, допущена к осуществлению медицинской или фармацевтической деятельности по специальности Ортодонтия. Сертификат действителен в течении 5 лет.